对于 54 岁的李阿姨来说,左足拇趾外翻畸形如同一道沉重的枷锁,多年来让她步履蹒跚,生活备受困扰。然而,在杭州邦尔骨科医院手足外科宋主任的巧手施治下,她终于挣脱了这道枷锁,重拾生活的轻盈与美好。
李阿姨的左足拇趾外翻畸形并非一朝一夕形成,多年来,它如同一位不请自来的“常客”,始终伴随着她。随着年龄的增长,这处畸形不仅没有好转,反而愈发严重,左足第 2 趾弓背畸形更是雪上加霜。每走一步路,都似有千钧之重压在心头,正常穿鞋成了奢望,每双鞋都需精心挑选,即便如此,脚部的疼痛依旧如影随形。李阿姨的生活,仿佛被这足部的病痛蒙上了一层灰暗的尘埃。


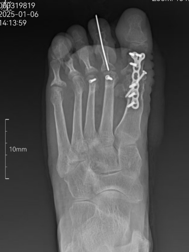
2025年1月,李阿姨来到了了杭州邦尔骨科医院的手足外科宋主任的门诊,她详细诉说了自己的病痛与无奈。宋主任耐心倾听,细致检查,随后安排了 X 线片检查。检查结果显示,李阿姨双足第 1 跖趾外翻畸形,左侧第 1 跖骨内翻畸形严重,双足拇趾外翻畸形矫正难度大。面对这复杂的病情,宋主任凭借多年丰富的临床经验,为李阿姨量身定制了一套详细的手术治疗方案。


术中,手足外科宋主任团队,以精湛的技艺和严谨的态度,为李阿姨实施了拇外翻手术。巧妙地矫正了李阿姨的足部畸形,重塑了足部的正常结构。术后,李阿姨的足部外观有了明显改善,疼痛感大幅减轻,看着自己曾经扭曲的脚趾重新变得整齐,她激动得热泪盈眶。

术后恢复期间,李阿姨在医护人员的精心照料和指导下,积极配合康复训练。见证了杭州邦尔骨科医院手足外科团队的卓越医术与贴心关怀。如今,李阿姨可以正常穿鞋,自如地行走,生活重新回到了正轨。“真的太感谢宋主任和手足外科的全体医护人员了!是你们让我摆脱了多年的困扰,重新找回了生活的信心和乐趣。”李阿姨满心感激地说道。
像李阿姨这样的案例不胜枚举,杭州邦尔骨科医院手足外科开展的微创治疗拇外翻畸形技术已成功治愈200余例拇外翻患者,术中无痛苦,不留瘢痕,术后可以下床行走,受到广大拇外翻患者的一致好评。