股骨头骨折脱位必致残?这一传统认知在湖州邦尔骨科医院被打破!近日,叶军博士团队通过数字化设计的缝匠肌内侧入路微创技术,成功救治一例复杂Pipkin IV型股骨头骨折合并髋臼骨折患者。术后仅两个月,患者髋关节功能恢复远超预期,甚至让经验丰富的医生惊叹:他的康复动作比我们示范的还要标准。
事故突发,复杂伤情挑战极限
36岁的张先生(化名)因电动车追尾事故被紧急送往我院。右侧髋部剧烈疼痛、活动受限,右下肢短缩3CM,屈曲内收畸形。


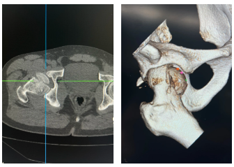
影像学检查显示:右侧髋关节脱位、Pipkin IV型股骨头骨折及髋臼后壁骨折。
这种复杂且严重的骨折类型,因损伤重、血供差,极易导致股骨头坏死和残疾。治疗难度极高,稍有不慎便可能导致终身残疾。传统治疗方案往往陷入"强行复位恐伤血管,保守治疗难保功能"的两难境地。然而,经过我院专家团队的精心治疗,术后两个月的复查结果更是令医生惊叹——他的髋功能关节恢复之好,甚至超出了专业康复训练的预期!


CT显示 股骨头骨折复位并不满意 ,需要手术 ,然而手术入路 、内固定方式又是问题。
精准施治,创新术式点亮希望
面对如此复杂的伤情,叶博士及其团队迅速展开讨论。传统开放复位内固定手术虽能直视骨折部位,但对周围组织损伤较大,且难以兼顾股骨头血供保护。经过反复斟酌,团队决定采用一种创新的治疗方法——数字化设计的缝匠肌内侧入路可吸收棒固定术。

这种术式以缝匠肌为解剖标志,通过数字化设计辅助术前规划,明确骨折线走行及骨块空间位置,精准入路进行骨折复位与固定。相比传统术式,它具有诸多优势:清晰暴露髋关节前内侧区域,为骨折复位和固定提供良好视野,提高手术精准度;手术过程中将股神经和股动脉安全牵向内侧,最大程度避免医源性损伤,降低神经血管并发症风险;减少肌肉损伤,无需切断过多肌肉组织,有利于术后恢复,减少术后疼痛;无需截骨,直接清除血肿并原位复位,保留股骨头血供,减少术中出血、感染、异位骨化等并发症的发生,提高手术安全性。


奇迹康复,术后恢复超乎想象
术后两个月,患者如约来到我院复查。当他在医院门诊走廊里自如地活动髋关节,进行功能锻炼时,现场的医护人员无不惊叹。他的髋关节功能恢复之好,甚至比医院专业康复训练的效果还要出色。

术后一个月CT

术后两月,影像检查。
术后影像学随访显示骨折愈合良好,无坏死征象,这充分证明了缝匠肌内侧入路数字化设计结合可吸收棒固定术的卓越疗效。
技术革新,为复杂骨折治疗开辟新路
此次成功案例,不仅为患者带来新生,更为复杂髋关节骨折脱位的治疗提供了新思路。缝匠肌内侧入路术通过肌间隙操作,数字化设计术凭借其精确性和个性化,根据患者解剖结构制定手术方案,较传统截骨术具有显著优势:微创显露、保护血供、精准复位、降低坏死风险,且可吸收材料避免二次手术。该术式是复杂髋关节骨折脱位的优选方案,尤其适合年轻、对功能要求高的患者。
在湖州邦尔骨科医院,我们始终以前沿技术、精湛医术和贴心服务,为患者点亮康复希望,为更多患者带来健康与幸福!